Proč ustupují zuby? Proč bělící zubní pasty nezachraňují vaše dásně

Proč ustupují zuby? Proč bělící zubní pasty nezachraňují vaše dásně
Ondřej Nečas 23 pro 2025 0 Komentáře Zubní péče

Výpočet rizika ustupování dásní

Vypočítejte své riziko ustupování dásní

Zde je nástroj, který vám pomůže odhadnout riziko ustupování dásní na základě vašeho zubního zdraví a životního stylu. Výsledek vám poskytne informace o tom, zda je třeba zvýšit vaši zubní hygienu nebo navštívit zubního lékaře.

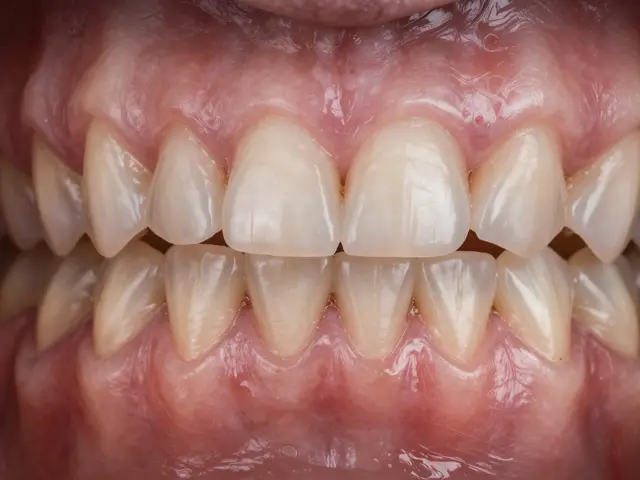
Ustupující dásně nejsou jen estetický problém. Když vidíte, že vaše zuby vypadají delší než dříve, nebo cítíte citlivost u kořenů, není to jen otázka vzhledu. Je to varovný signál, že něco není v pořádku. A ne, bělící zubní pasta vám to nevyřeší.

Co se vlastně děje pod vašimi dásněmi?

Dásně neustupují proto, že jste příliš často bělili zuby. Důvod je mnohem jednodušší a zároveň mnohem vážnější. Je to výsledek dlouhodobého zánětu, který začíná jako malý červený otok, ale postupně ničí kost a vazivovou tkáň, která drží zub na místě.

Tento proces se jmenuje parodontitida. Začíná s plakem - tenkou vrstvou bakterií, která se na zubech tvoří každý den. Když ji neodstraníte pravidelným čištěním, ztuhne a přemění se na zubní kámen. Ten už si neodstraníte kartáčkem. A právě zubní kámen je hlavní původce zánětu.

Pod zubním kamenem se bakterie rozmnožují jako na půdě. Vytvářejí toxiny, které poškozují dásně. Ty se odplývají od zubu, vznikají tzv. parodontální kapsy - mezery, kde se ještě víc bakterií shromažďuje. A tak se celý proces zhoršuje.

Proč bělící zubní pasty dásně nezachrání?

Bělící zubní pasty jsou navržené pro jednu věc: odstranit povrchové skvrny. Používají abrazivní částice nebo chemické látky jako peroxid vodíku, které „odstraní“ žlutost. Ale tyto látky nepronikají pod dásně. Nebojí se zubního kamene. A ani nezabíjejí bakterie, které způsobují zánět.

Když používáte bělící pastu, myslíte si, že děláte něco dobrého pro zuby. Ve skutečnosti můžete jen zhoršit situaci. Abrazivní částice mohou poškodit zubní sklovinku, která už je na kořeni zubu tenká - protože dásně ustoupily. A když je sklovinka poškozená, zub je ještě citlivější. Což vás může přimět k ještě častějšímu čištění - a tím ještě víc poškodit.

Nezapomeňte: bělící pasta není lék. Je to kosmetický produkt. A jakýkoli kosmetický produkt, který se snaží řešit problém, který je základně zánětlivý, je jako pokus o vymalování plísně na zdi - zůstane tam, jen se na chvíli zdá, že zmizela.

Kdo je nejvíce ohrožen?

Ustupující dásně se neobjeví náhodně. Jsou výsledkem kombinace faktorů:

  • Špatná hygiena - čištění jen jednou denně, nebo jen před svátky
  • Dědičnost - někdo má geneticky tenčí dásně, které jsou více náchylné k poškození
  • Kouření - nikotin zhoršuje krevní oběh v dásních, což zpomaluje hojení a zvyšuje riziko infekce
  • Diabetes - vysoká hladina cukru v krvi zvyšuje riziko zánětů, včetně těch v ústech
  • Bruxismus - škrábaní zubů během spánku tlačí zuby do dásně, což je postupně poškozuje

Nejčastěji se to stává lidem mezi 35 a 65 lety. Ale už u 20letých můžete vidět první příznaky - například zvýšená citlivost na studené nebo teplé nápoje.

Zub s poškozenou sklovinkou a bakteriemi pod zubním kamenem, vedle něj bělící zubní pasta jako symbol neúčinného řešení.

Co opravdu pomůže?

Není třeba koupit novou pastu. Potřebujete jiný přístup.

  1. Pravidelně čistěte zuby - dvakrát denně, alespoň dvě minuty. Nezapomeňte na mezizubní prostory - používejte nit nebo mezizubní kartáček.
  2. Navštivte zubního lékaře každých 6 měsíců - ne proto, abyste si nechali zuby bělit, ale proto, aby vám odstranil zubní kámen. To je jediná metoda, která skutečně zastaví pokročilý zánět.
  3. Používejte pastu s fluoridem - ne bělící, ale ta, která chrání sklovinku a podporuje remineralizaci. Fluorid pomáhá zubům se sami obnovovat.
  4. Nečistěte příliš silně - tvrdý kartáček a agresivní pohyby poškozují dásně. Používejte měkký kartáček a jemné kruhové pohyby.
  5. Přestanete kouřit - to je největší jednoduchá změna, kterou můžete udělat. Kouření zvyšuje riziko ztráty zubů až o 70 %.

Nezapomeňte: když dásně ustoupily, nevrátí se zpět. Ale zastavit jejich další ústup je možné. A to i v pozdním stádiu. Stačí přestat ignorovat příznaky.

Co dělat, když už je to vidět?

Když dásně ustoupily natolik, že je vidět kořen zubu, není čas na domácí řešení. Potřebujete odbornou pomoc.

Zubní lékař vám může navrhnout:

  • Skalpelové očištění - odstranění zubního kamene pod dásněmi pod lokální anestézií
  • Chirurgické zákroky - například přesun dásně z jiné oblasti (tzv. transplantace) k pokrytí odhalených kořenů
  • Zákroky na kost - pokud je kost poškozená, může být nutná regenerace pomocí speciálních materiálů

Nejlepší je zahájit léčbu hned, jak si všimnete, že zuby vypadají „delší“. Čím dříve začnete, tím méně zákroků budete potřebovat.

Zubní lékař odstraňuje zubní kámen pod dásněmi pomocí skalpelu, pacient je klidný, viditelné zubní nástroje.

Co je špatné řešení?

Nejdřív si koupíte bělící pastu. Pak si představíte, že „to bude stačit“. Pak se podíváte do zrcadla a uvidíte, že dásně ustoupily ještě víc. A teď už nejen zuby, ale i peníze - na zákroky, které byste mohli vyhnout.

Spousta lidí věří, že „čistší zuby = zdravější ústa“. To není pravda. Můžete mít bílé zuby a zároveň ztrácet zuby z důvodu zánětu dásní. To je jako mít čistý automobil, ale zároveň mít zničený motor - nevidíte to, dokud se nezastaví.

Nezapomeňte: zdravé dásně nejsou bílé. Jsou růžové, pevné a nekrvácí. Když kartáčkujete a krvácí, je to vážný signál. Nezakrývejte ho bělící pastou. Řešte příčinu.

Co si pamatovat?

Ustupující dásně nejsou „přirozeným způsobem stárnutí“. Jsou příznakem nemoci, kterou můžete zastavit. Nezáleží na tom, kolik let máte. Nezáleží na tom, jak často bělíte zuby. Záleží na tom, jestli odstraňujete zubní kámen a zánět.

Největší chyba je čekat, až to začne bolet. Dásně nebojí. Ony jen ustupují - tiše, pomalu, bez varování. Až když zub začne být volný, už je pozdě.

Nechte si dásně zkontrolovat. Každých šest měsíců. Ne proto, abyste si nechali zuby bělit. Ale proto, abyste je zachovali.

Může bělící zubní pasta způsobit ustupování dásní?

Nezpůsobí přímo, ale může přispět k jejich poškození. Abrazivní částice v bělících pastách mohou opotřebovávat tenkou sklovinku na kořeni zubu, kde už dásně ustoupily. To zvyšuje citlivost a může vést k dalšímu poškozování. Ale hlavní příčinou je zubní kámen a zánět - ne pasta.

Je možné, aby se dásně vrátily zpět?

Ne, dásně se po odchodu nevracejí samy. Ale můžete zastavit jejich další ústup. V některých případech dokonce lékař může pomocí chirurgického zákroku přesunout zdravou tkáň z jiné oblasti a pokrýt odhalené kořeny. To vypadá jako „vrácení“, ale ve skutečnosti je to přesun tkáně.

Když krvácí dásně, mám přestat čistit zuby?

Ne. Přesně naopak. Krvácení je příznak zánětu - a čištění je jediný způsob, jak ho zastavit. Čistěte jemně, měkkým kartáčkem a používejte nit. Pokud krvácení přetrvává déle než týden, navštivte zubního lékaře.

Je pravda, že jen starší lidé mají ustupující dásně?

Ne. I mladí lidé mohou mít ustupující dásně - obzvláště pokud mají špatnou hygieni, kouří nebo škrábají zuby. U 20letých se často objevuje první příznak - citlivost na studené nápoje. To není „jen citlivost“ - je to varování.

Jaká zubní pasta je nejlepší pro dásně?

Nejlepší je pasta s fluoridem, bez abrazivních částic a bez agresivních bělících látek. Hledejte složení s floridem, hydroxyapatitem nebo kyselinou zinkovou. Vyhněte se pastám s „bělením“, „čištěním“ nebo „odstraňováním skvrn“ v názvu. Ty jsou pro estetiku, ne pro zdraví.